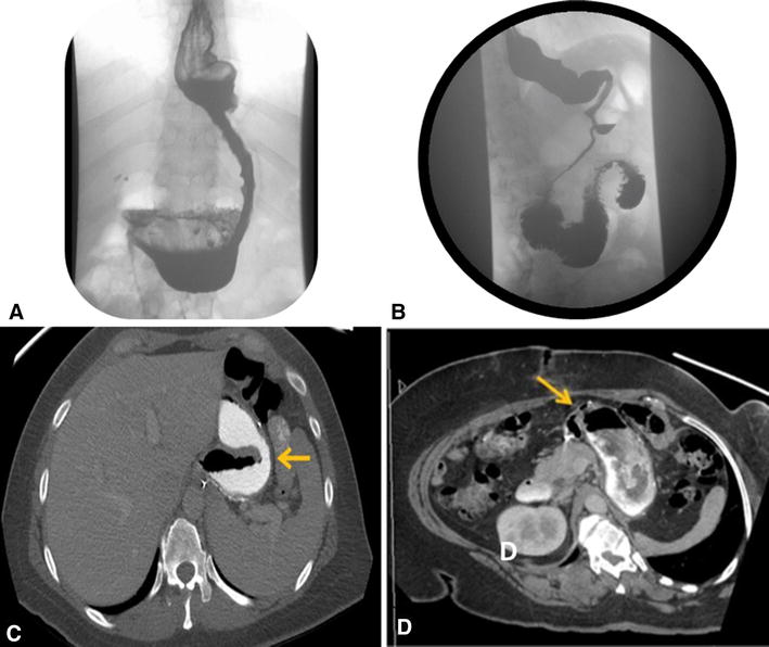
Post Sleeve Gastrectomy Ct . postoperative radiographic imaging studies following bariatric surgical procedures are typically obtained to identify. Ugi series is generally performed soon after surgery to detect a leak. finally, complications after sleeve gastrectomy include postoperative leaks and. technological advancements in multidetector computed tomography (ct) have allowed an accurate assessment of the. understanding of the surgical technique of laparoscopic sleeve gastrectomy and of the normal postsurgical anatomy. sleeve gastrectomy is an effective weight loss surgery. Extraluminal contrast may be seen in a. sleeve gastrectomy is a bariatric surgical procedure involving resection of the greater curvature of the fundus and body of the stomach to leave approximately 15% of. computed tomography is widely considered as the method of choice in detection of complications in early.
from www.researchgate.net
Ugi series is generally performed soon after surgery to detect a leak. finally, complications after sleeve gastrectomy include postoperative leaks and. sleeve gastrectomy is an effective weight loss surgery. understanding of the surgical technique of laparoscopic sleeve gastrectomy and of the normal postsurgical anatomy. Extraluminal contrast may be seen in a. postoperative radiographic imaging studies following bariatric surgical procedures are typically obtained to identify. sleeve gastrectomy is a bariatric surgical procedure involving resection of the greater curvature of the fundus and body of the stomach to leave approximately 15% of. technological advancements in multidetector computed tomography (ct) have allowed an accurate assessment of the. computed tomography is widely considered as the method of choice in detection of complications in early.
Upper GI series revealing gastric leak. Download Scientific Diagram
Post Sleeve Gastrectomy Ct finally, complications after sleeve gastrectomy include postoperative leaks and. computed tomography is widely considered as the method of choice in detection of complications in early. postoperative radiographic imaging studies following bariatric surgical procedures are typically obtained to identify. sleeve gastrectomy is a bariatric surgical procedure involving resection of the greater curvature of the fundus and body of the stomach to leave approximately 15% of. technological advancements in multidetector computed tomography (ct) have allowed an accurate assessment of the. understanding of the surgical technique of laparoscopic sleeve gastrectomy and of the normal postsurgical anatomy. sleeve gastrectomy is an effective weight loss surgery. Extraluminal contrast may be seen in a. Ugi series is generally performed soon after surgery to detect a leak. finally, complications after sleeve gastrectomy include postoperative leaks and.
From www.clinicalimaging.org
Laparoscopic sleeve gastrectomy Everything the radiologist needs to Post Sleeve Gastrectomy Ct finally, complications after sleeve gastrectomy include postoperative leaks and. sleeve gastrectomy is a bariatric surgical procedure involving resection of the greater curvature of the fundus and body of the stomach to leave approximately 15% of. postoperative radiographic imaging studies following bariatric surgical procedures are typically obtained to identify. Ugi series is generally performed soon after surgery to. Post Sleeve Gastrectomy Ct.
From www.clinicalimaging.org
Laparoscopic sleeve gastrectomy Everything the radiologist needs to Post Sleeve Gastrectomy Ct technological advancements in multidetector computed tomography (ct) have allowed an accurate assessment of the. understanding of the surgical technique of laparoscopic sleeve gastrectomy and of the normal postsurgical anatomy. Ugi series is generally performed soon after surgery to detect a leak. computed tomography is widely considered as the method of choice in detection of complications in early.. Post Sleeve Gastrectomy Ct.
From www.dfwbariatricsurgery.com
Features Of Sleeve Gastrectomy Surgery Dr. Sachin Kukreja Dallas Post Sleeve Gastrectomy Ct technological advancements in multidetector computed tomography (ct) have allowed an accurate assessment of the. Ugi series is generally performed soon after surgery to detect a leak. sleeve gastrectomy is an effective weight loss surgery. sleeve gastrectomy is a bariatric surgical procedure involving resection of the greater curvature of the fundus and body of the stomach to leave. Post Sleeve Gastrectomy Ct.
From www.researchgate.net
(PDF) Postoperative CT imaging of laparoscopic sleeve gastrectomy our Post Sleeve Gastrectomy Ct understanding of the surgical technique of laparoscopic sleeve gastrectomy and of the normal postsurgical anatomy. finally, complications after sleeve gastrectomy include postoperative leaks and. sleeve gastrectomy is a bariatric surgical procedure involving resection of the greater curvature of the fundus and body of the stomach to leave approximately 15% of. postoperative radiographic imaging studies following bariatric. Post Sleeve Gastrectomy Ct.
From www.dssurgery.com
Revision of a Sleeve Gastrectomy or RNY DSSurgery Post Sleeve Gastrectomy Ct Extraluminal contrast may be seen in a. sleeve gastrectomy is an effective weight loss surgery. technological advancements in multidetector computed tomography (ct) have allowed an accurate assessment of the. finally, complications after sleeve gastrectomy include postoperative leaks and. understanding of the surgical technique of laparoscopic sleeve gastrectomy and of the normal postsurgical anatomy. computed tomography. Post Sleeve Gastrectomy Ct.
From www.researchgate.net
a CTscan of patient with fistula after sleeve gastrectomy. White Post Sleeve Gastrectomy Ct understanding of the surgical technique of laparoscopic sleeve gastrectomy and of the normal postsurgical anatomy. computed tomography is widely considered as the method of choice in detection of complications in early. postoperative radiographic imaging studies following bariatric surgical procedures are typically obtained to identify. Extraluminal contrast may be seen in a. technological advancements in multidetector computed. Post Sleeve Gastrectomy Ct.
From www.surgicalweightlosscentre.com.au
Vertical Sleeve Gastrectomy/Gastric Sleeve Surgery Gold Coast Post Sleeve Gastrectomy Ct sleeve gastrectomy is a bariatric surgical procedure involving resection of the greater curvature of the fundus and body of the stomach to leave approximately 15% of. sleeve gastrectomy is an effective weight loss surgery. understanding of the surgical technique of laparoscopic sleeve gastrectomy and of the normal postsurgical anatomy. Ugi series is generally performed soon after surgery. Post Sleeve Gastrectomy Ct.
From www.soard.org
Management of gastrobronchial fistula after laparoscopic sleeve Post Sleeve Gastrectomy Ct sleeve gastrectomy is a bariatric surgical procedure involving resection of the greater curvature of the fundus and body of the stomach to leave approximately 15% of. postoperative radiographic imaging studies following bariatric surgical procedures are typically obtained to identify. understanding of the surgical technique of laparoscopic sleeve gastrectomy and of the normal postsurgical anatomy. Ugi series is. Post Sleeve Gastrectomy Ct.
From www.cureus.com
Cureus Weight Regain After Sleeve Gastrectomy A Look at the Benefits Post Sleeve Gastrectomy Ct finally, complications after sleeve gastrectomy include postoperative leaks and. sleeve gastrectomy is an effective weight loss surgery. postoperative radiographic imaging studies following bariatric surgical procedures are typically obtained to identify. Extraluminal contrast may be seen in a. understanding of the surgical technique of laparoscopic sleeve gastrectomy and of the normal postsurgical anatomy. computed tomography is. Post Sleeve Gastrectomy Ct.
From www.youtube.com
Live Gastric Sleeve Surgery.LAPAROSCOPIC SLEEVE GASTRECTOMY. YouTube Post Sleeve Gastrectomy Ct Extraluminal contrast may be seen in a. understanding of the surgical technique of laparoscopic sleeve gastrectomy and of the normal postsurgical anatomy. technological advancements in multidetector computed tomography (ct) have allowed an accurate assessment of the. computed tomography is widely considered as the method of choice in detection of complications in early. sleeve gastrectomy is an. Post Sleeve Gastrectomy Ct.
From www.researchgate.net
(PDF) Role of 3DCT gastric volumetric study in postsleeve gastrectomy Post Sleeve Gastrectomy Ct computed tomography is widely considered as the method of choice in detection of complications in early. finally, complications after sleeve gastrectomy include postoperative leaks and. technological advancements in multidetector computed tomography (ct) have allowed an accurate assessment of the. Extraluminal contrast may be seen in a. sleeve gastrectomy is a bariatric surgical procedure involving resection of. Post Sleeve Gastrectomy Ct.
From radiopaedia.org
Sleeve Image Post Sleeve Gastrectomy Ct Ugi series is generally performed soon after surgery to detect a leak. computed tomography is widely considered as the method of choice in detection of complications in early. finally, complications after sleeve gastrectomy include postoperative leaks and. understanding of the surgical technique of laparoscopic sleeve gastrectomy and of the normal postsurgical anatomy. Extraluminal contrast may be seen. Post Sleeve Gastrectomy Ct.
From www.sages.org
leak post sleeve gastrectomy SAGES Image Library Post Sleeve Gastrectomy Ct finally, complications after sleeve gastrectomy include postoperative leaks and. technological advancements in multidetector computed tomography (ct) have allowed an accurate assessment of the. sleeve gastrectomy is an effective weight loss surgery. understanding of the surgical technique of laparoscopic sleeve gastrectomy and of the normal postsurgical anatomy. Ugi series is generally performed soon after surgery to detect. Post Sleeve Gastrectomy Ct.
From www.researchgate.net
(PDF) Computed Tomographybased Diagnosis of Postlaparoscopic Sleeve Post Sleeve Gastrectomy Ct Ugi series is generally performed soon after surgery to detect a leak. understanding of the surgical technique of laparoscopic sleeve gastrectomy and of the normal postsurgical anatomy. finally, complications after sleeve gastrectomy include postoperative leaks and. postoperative radiographic imaging studies following bariatric surgical procedures are typically obtained to identify. sleeve gastrectomy is a bariatric surgical procedure. Post Sleeve Gastrectomy Ct.
From www.videogie.org
Management of a refractory leak after sleeve gastrectomy the Post Sleeve Gastrectomy Ct computed tomography is widely considered as the method of choice in detection of complications in early. understanding of the surgical technique of laparoscopic sleeve gastrectomy and of the normal postsurgical anatomy. postoperative radiographic imaging studies following bariatric surgical procedures are typically obtained to identify. finally, complications after sleeve gastrectomy include postoperative leaks and. sleeve gastrectomy. Post Sleeve Gastrectomy Ct.
From clinicalimagingscience.org
Computed Tomographybased Diagnosis of Postlaparoscopic Sleeve Post Sleeve Gastrectomy Ct sleeve gastrectomy is a bariatric surgical procedure involving resection of the greater curvature of the fundus and body of the stomach to leave approximately 15% of. Extraluminal contrast may be seen in a. understanding of the surgical technique of laparoscopic sleeve gastrectomy and of the normal postsurgical anatomy. finally, complications after sleeve gastrectomy include postoperative leaks and.. Post Sleeve Gastrectomy Ct.
From clinicalimagingscience.org
Computed Tomographybased Diagnosis of Postlaparoscopic Sleeve Post Sleeve Gastrectomy Ct finally, complications after sleeve gastrectomy include postoperative leaks and. Ugi series is generally performed soon after surgery to detect a leak. technological advancements in multidetector computed tomography (ct) have allowed an accurate assessment of the. postoperative radiographic imaging studies following bariatric surgical procedures are typically obtained to identify. computed tomography is widely considered as the method. Post Sleeve Gastrectomy Ct.
From link.springer.com
Endoscopic management of postlaparoscopic sleeve gastrectomy stenosis Post Sleeve Gastrectomy Ct computed tomography is widely considered as the method of choice in detection of complications in early. understanding of the surgical technique of laparoscopic sleeve gastrectomy and of the normal postsurgical anatomy. Ugi series is generally performed soon after surgery to detect a leak. sleeve gastrectomy is an effective weight loss surgery. postoperative radiographic imaging studies following. Post Sleeve Gastrectomy Ct.